
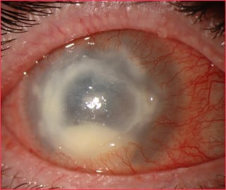
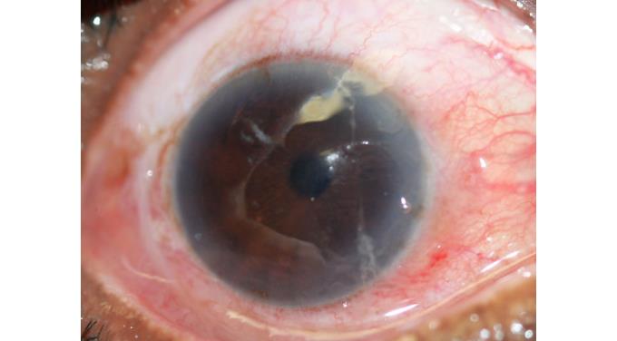
Beware of the possible hazards to your eye health when ordering contact lenses online and skipping your contact lens examination. Some of the complications of wearing contact lenses are corneal ulcers, Acanthamoeba Keratitis, infections, corneal abrasion and even blindness that can be avoided with regular check-ups.
Many patients believe that it is more convenient and cheaper to shop for contact lenses online and unfortunately forget to have a contact lens check-up at their optometrist. They don’t always understand the dangers of not having a proper check-up and the correct contact lens fitted and dispensed by an optometrist. Contact lenses bought from trusted health-care providers are medically regulated and are considered a medical device similar to scheduled medicine.

Regular eye examinations are vital. These examinations are vital, because vision changes continuously and you might need updated prescriptions and change in the design and type of contact lens from time to time. It is recommended to visit an optometrist before and after purchasing new contacts, or at least every 12 months to avoid vision complications.
The wrong fit or type of contact lens can cause irreversible eye damage. Ordering contact lenses through a trusted and qualified optometrist will not only give you peace of mind by knowing that your optometrist prescribed the best contact lens that is clinically correct for your eyes. Optometrists use diagnostic contact lenses to evaluate a proper fit and will therefore dispense the correct contact lens to suit your eye.
The risk of significant eyesight complications when wearing sub-standard lenses is enormous. Lenses bought from online lens retailers may incorrectly be stored under adverse conditions and the expiry date on the lenses are not always valid due to the volumes required.



Other risks when not ordering contact lenses from an optometrist
If you are considering buying contact lenses from a source other than an optometrist, you should understand the following risks.
Eyesight should be a key priority when it comes to personal health and not something to take risks with. Signs to look out for are eye discomfort, redness, blurred vision and headaches. The only way to prevent this is to consult an optometrist. Remember – prevention is the cure!
Website © Dynamic Vision 2019